背部湿疹的治疗方法
浏览次数:0次 发表日期:2023-07-11
背部湿疹的治疗方法湿疹,也被称为湿疹性皮炎,是一种常见的皮肤疾病,它可以发生在全身各个部位,包括背部。湿疹常常会导致患者皮肤发痒、红肿、起泡、渗液等不适症状,给患者带来很大的困扰和不便。那么,针对厦门地区的背部湿疹患者,应该如何进行治疗呢?<<<在线咨询
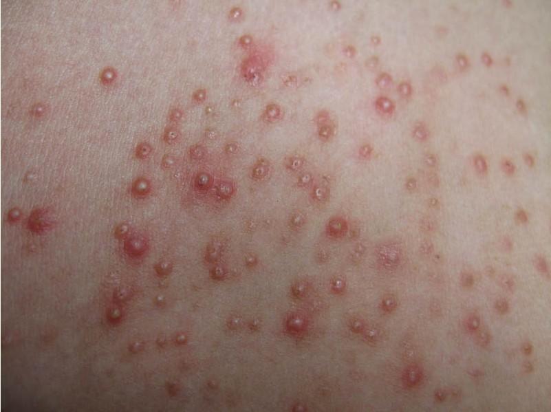
湿疹症状的种类和严重程度会因个体而异,但典型的症状包括皮肤发红、干燥、瘙痒、渗液、结痂和皮肤增厚。对于背部湿疹的患者来说,常见的症状是背部皮肤发红和瘙痒,有时还会有小水泡和结痂。这些症状会给患者带来不适和痛苦,影响日常生活和工作。
在选择一个好的医院进行湿疹治疗时,有几个因素是需要考虑的。首先,医生的专业性和耐心是非常重要的因素。专业性意味着医生需要具备相关的医学背景和专业知识,能够准确地诊断和治疗背部湿疹。耐心则意味着医生要有充分的时间和精力与患者进行沟通和解答疑问,以确保患者能够理解治疗流程和注意事项。
其次,医疗环境的舒适性也是一个重要的考虑因素。医院应该提供干净、整洁和舒适的环境,给患者提供良好的治疗体验。
此外,收费公开透明也是选择医院的一个重要标准。患者需要对医疗费用有清晰的了解和认知,避免不必要的经济负担。
总之,对于背部湿疹患者来说,选择一个好的医院进行治疗是关键。通过注意医生的专业性和耐心,医疗环境的舒适性以及收费公开透明等因素,患者可以找到一家适合自己的医院,获得有效的治疗和关爱。同时,在接受治疗的过程中,患者也应该保持良好的心态和生活习惯,积极改善湿疹症状,提高生活质量。

| 上一篇:湿疹怎么治好 | 下一篇:为什么会长湿疹 |

