背后长好多痘痘是什么原因
浏览次数:0次 发表日期:2024-01-10
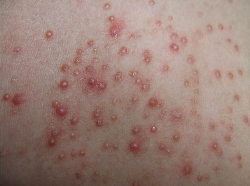
背后长好多痘痘是什么原因?痘痘是一种常见的皮肤问题,不仅出现在我们的面部,有时候还会在背部发生。背后长出很多痘痘可能是由于多种原因引起的。
<<<在线咨询
<<<在线咨询
一,背部痘痘可能与油脂分泌过多有关。皮脂腺位于我们的皮肤下方,分泌皮脂以保持皮肤的滋润。然而,当皮脂腺分泌过多,油脂没有得到有效排出,就会导致毛孔堵塞,形成痘痘。背部是一块容易出油的区域,如穿着紧身衣物、长时间坐着等行为都会使背部过度出汗,导致油脂积聚,从而引发痘痘。
二,背部痘痘也可能与毛囊炎有关。毛囊炎是一种常见的皮肤炎症疾病,与细菌感染有关。当我们的背部受到外界污染、尘土或细菌的侵害时,毛囊周围可能会发生炎症反应,导致痘痘的形成。此外,背部痘痘也可能是由于过度摩擦或刺激引起的,如穿着紧身衣物、背部经常受到摩擦等。

三,不好的生活习惯也会导致背部长痘痘。例如,饮食不均衡、暴饮暴食、过多摄入高脂肪、高糖分食物等都会增加背部发生痘痘的概率。此外,缺乏锻炼、不好的睡眠习惯以及长时间处于压力状态下也会增加体内激素水平的波动,从而使痘痘更容易发生。
背后长好多痘痘可能是由于油脂分泌过多、毛囊炎、不好的生活习惯以及遗传因素等多种原因共同引起的。通过保持良好的卫生习惯、均衡的饮食和适度的运动,可以预防和改善背部痘痘的问题。如果背部长期出现大量痘痘且无法自行缓解,建议咨询专业医生的意见和帮助。
| 上一篇:青春痘患者要远离哪些饮食 | 下一篇:脸上长痘长黑头怎么办 |

