长痘痘怎么缓解
浏览次数:0次 发表日期:2023-08-09
长痘是一种常见的皮肤问题,对于很多人来说,长痘不仅会影响外貌,还可能给心理带来压力。因此,缓解长痘成为了很多人的追求,那么如何缓解长痘呢?
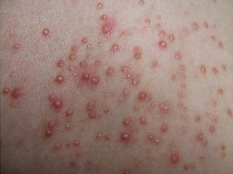
首先,了解长痘的症状是很重要的。长痘的主要症状包括:面部出现红肿的疹子,容易长炎症及丘疹等。此外,长痘还会伴随着皮肤痒痛、发烧、头痛等不适症状。这时候,我们要及时采取相应的缓解方法。<<<在线咨询
其次,选择一个好的医院也是很重要的。一个好的医院可以提供良好的医疗服务,帮助我们更好地缓解长痘的问题。在选择医院时,我们可以从以下几个方面进行考量。
首先,医生的专业能力和耐心是我们选择医院的重要标准之一。一个专业的医生能够准确地诊断和治疗我们的问题,并且能够给予我们充分的解释和建议。耐心的医生会认真倾听我们的问题和疑虑,并且给予我们耐心的回答和解决方案。因此,在选择医院时,我们可以在网络、医生资质证书等途径了解医生的专业能力和耐心。
其次,医疗环境的舒适程度也是我们选择医院的重要标准之一。一个舒适的医疗环境可以让我们感到放松和舒适,同时也有助于医生更好地开展工作。在选择医院时,我们可以事先参观医院,了解其卫生情况、设施设备等,看是否符合我们的要求。同时,我们也可以了解医院是否提供私密性较好的就诊环境,以保护我们的隐私。
此外,医院的收费公开透明也是我们选择医院的重要考量之一。合理的收费是医院服务的体现,一个好的医院应该向患者公开透明地报价,并且提供明细的费用清单。在选择医院时,我们可以咨询朋友或者亲友对医院的收费情况进行了解,或者直接向医院咨询费用相关问题,保证选择的医院的收费是合理和公正的。
综上所述,长痘怎么缓解呢?除了了解其症状,并采取相应的缓解方法外,选择一个好的医院也是非常重要的。在选择医院时,我们可以从医生专业能力耐心,医疗环境舒适以及收费公开透明等方面进行考量。希望每个有长痘问题的人都能找到适合自己的好医院,早日解决皮肤问题,恢复自信与美丽。

| 上一篇:青春痘怎么缓解 | 下一篇:背后长了很多痘痘怎么办 |

