长痘怎么缓解
浏览次数:0次 发表日期:2023-08-04
长痘怎么缓解?如何选择一个好的医院导语:长痘是很多人都遇到过的问题,它不仅会影响我们的外貌美观,还可能给心理带来一定的负面影响。那么,如果你长痘了,你应该如何缓解呢?同时,为了保证痘痘问题得到及时有效的解决,选择一个好的医院也是至关重要的。那么如何挑选一个好的医院呢?本文将围绕这个标题为大家一一介绍。<<<在线咨询
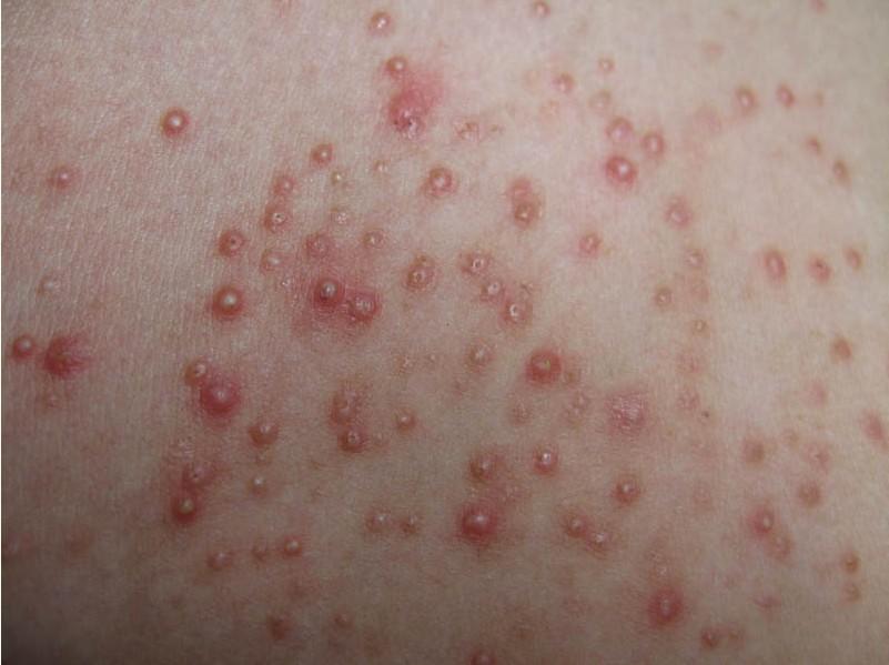
一、长痘的症状长痘痘是一种常见的皮肤疾病,一般会出现在面部、背部和胸部等部位。长痘主要有以下几个症状:
1.红肿痛:长痘痘往往伴有红肿和疼痛的感觉,有时还会出现局部的温热感。
2.发病部位多:痘痘主要出现在面部T字区域、额头、鼻翼等部位,也会出现在背部、胸部等地方。
3.痘头明显:痘痘通常会有一个明显的痘头,痘头上会有白色或黄色的脓液。
4.痕迹难消:若不正确处理,痘痘可能会留下痘印或痘疤。
二、如何缓解长痘1.温和清洁:使用温和的洁面产品,保持皮肤清洁,避免使用刺激性的化妆品或皮肤护理品。
2.控制油脂分泌:选择适合自己的控油产品,不过度使用油性护肤品和化妆品。
3.规律生活:保持充足的睡眠,饮食要健康均衡,多吃水果和蔬菜,注意饮食清淡。
4.避免挤压:不要用手挤压痘痘,因为这样可能导致感染和炎症扩散,还可能留下疤痕。
5.寻求专业帮助:如果痘痘问题较为严重,建议就医寻求专业医生的帮助,制定个体化的治疗方案。
三、如何选择一个好的医院当我们需要就医时,选择一个好的医院是非常重要的,下面是一些选择医院的标准:
1.医生专业有耐心:医生是治疗痘痘的专业人士,他们应该具备专业知识和丰富的临床经验,能够为患者提供专业的诊断和治疗方案。同时,医生还应该对患者有耐心,能够仔细听取患者的病情描述,并耐心解答患者的问题。
2.医疗环境舒适:一个好的医院应该具备舒适的医疗环境,包括整洁、明亮的诊室和病房,舒适的床铺和陈设,以及良好的空气质量。
3.收费公开透明:医院的收费项目和标准应该公开透明,患者能够清楚了解自己需要支付的费用。
长痘是一种常见的皮肤问题,合理的生活习惯和正确的护肤方法可以帮助我们缓解痘痘的问题。而选择好的医院则是保证痘痘问题得到有效解决的关键。如何选择医院,我们可以从医生的专业性和耐心、医疗环境的舒适度、收费的公开透明度和患者的满意度等多个方面来考虑。希望大家都能选到一个合适自己的医院,及时解决痘痘问题,恢复美丽自信的外貌。

| 上一篇:脸上反复长痤疮是什么原因 | 下一篇:长痤疮怎么缓解 |

