皮肤过敏是什么原因造成的
浏览次数:0次 发表日期:2023-11-19
皮肤过敏是什么原因造成的?皮肤过敏是一种常见的皮肤问题,它可以由各种因素引起,如食物、药物、化妆品、花粉、动物毛发、昆虫叮咬以及环境因素等。当人体与这些物质接触后,免疫系统会产生过度反应,引发皮肤过敏的症状。一旦皮肤过敏发作,可能会给患者带来不适和痛苦,严重的时候甚至影响到日常生活。<<<在线咨询
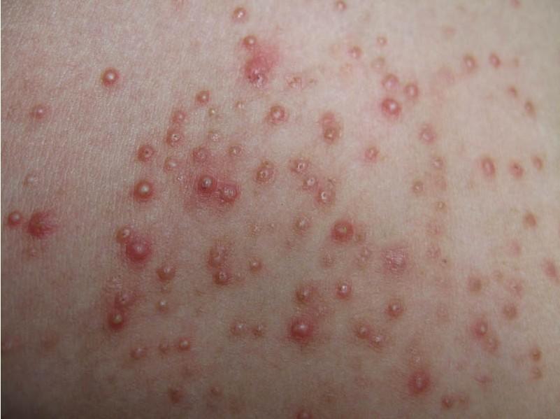
皮肤过敏的症状多种多样,常见的包括皮肤红肿、瘙痒、起疹子、脱屑等。有些人在遇到过敏原后还可能出现呼吸困难、头痛、恶心、呕吐等全身症状。这些症状会给患者带来不适和痛苦,严重影响生活质量。
要预防皮肤过敏,首先要尽量避免接触已知的过敏原。比如,如果某种食物容易引起过敏反应,就要尽量避免食用或减少摄入。此外,对于化妆品、清洁用品、护肤品等可能引起过敏的产品,也要选择适合自己肤质的产品,并且在使用前要做皮肤敏感测试。对于一些能得到很多人认可的荣誉肤科医院提供的护肤产品,可以更多使用。在户外活动时,还要注意避免过度接触花粉、动物毛发等可能引起过敏反应的物质。
此外,保持身体健康也是预防皮肤过敏的重要方法。良好的饮食习惯、充足的睡眠、适量的运动等都可以提高身体免疫力,降低过敏发作的概率。此外,保持皮肤干净卫生、正确护理也对预防皮肤过敏有一定的帮助。
总之,皮肤过敏是一种常见的皮肤问题,可能由各种因素引起。要预防皮肤过敏,首先要尽量避免接触已知的过敏原,保持身体健康也是预防皮肤过敏的重要方法。对于已经患上皮肤过敏的人来说,要及时就医,接受专业的治疗和护理,以缓解症状,减轻不适。希望每个人都能拥有健康的皮肤,远离过敏的困扰。

| 上一篇:皮肤过敏怎样才能去掉 | 下一篇:皮肤过敏的病因是什么 |

